FRONTIERS IN MEDICAL CASE REPORTS - Volume 6; Issue 5, (Sep-Oct, 2025)
Pages: 01-09
Print Article
Download XML Download PDF
Enterococcus spp. and Bacillus cereus Infection in an Outbreak of Foodborne Disease at Babadan Village, Palabuhan Ratu
Author: Luhung Budiailmiawan, Ryan B. Ristandi, Budi Firdaus
Category: Medical Case Reports
Abstract:
Enterococcus spp. and Bacillus cereus are among the bacteria that cause foodborne diseases. On Mei, 05, 2025, there was an outbreak of food poisoning with symptoms of vomiting and diarrhoea after eating food from the “Haul” ceremony at Babadan village, Palabuhan Ratu, Sukabumi. Data on clinical symptoms, stool examination, and Gram staining from fresh stool were collected from 54 patients. The stool Gram staining was performed with quantification using Clinical Microbiology Proficiency Testing (CMPT). The microbiological culture test (The Vitex MS) on vomit and food material samples was carried out. The results showed that most of the patients were females aged 1-16 years with symptoms being vomiting (54/54:100%), heartburn (1/54:1.9 %), and diarrhoea (4/54:7.4%). The stool Gram examination: Gram-positive oval cocci (spherical or ovoid) bacteria were found, arranged in single cells, pairs (diplococci), or in short chains (51/54:94%) samples; and Gram-positive bacillus-shaped bacteria, which can be single or in short chains (3/54:5.6%) samples, with all were graded at 3 (moderate). The result of the microbiological culture test on vomit and food material samples showed Enterococcus faecalis, Enterococcus casseliflavus, and Bacillus cereus. It has been found that this outbreak was caused by food contaminated with Enterococcus spp. and Bacillus cereus.
Keywords: Outbreaks, Enterococcus spp, Bacillus cereus, MALDI-TOF
Full Text:
Introduction
Enterococcus spp. are Gram-positive cocci. These are facultative anaerobic cocci, capable of surviving in a wide range of inhospitable conditions, and can persist in the environment for long periods (Van Tyne et al., 2013). These bacteria are commensal microorganisms of the human and animal gastrointestinal tract. Enterococcus spp. is a leading cause of healthcare-associated infections (HAIs) (Hidron et al., 2008). This bacterium is the third most frequently isolated healthcare pathogen and is capable of causing a variety of infections, including endocarditis, sepsis, surgical site infections, and urinary tract infections. These bacteria exhibit strong biofilm-forming abilities, which contribute to treatment resistance and persistence (Tamrat et al., 2025). There are more than 40 ecologically diverse species within the Enterococcus genus, accounting for nearly 90 per cent of enterococcal infections, which are primarily caused by E. faecalis and/or E. faecium (Van Tyne et al., 2013). Epidemiological data also indicate that E. faecalis is the most commonly isolated enterococcal species in human disease, while E. faecium, which is associated with the majority of remaining enterococcal infections, may pose a greater threat of antibiotic resistance (Giraffa G, 2002).
Several bacterial species are increasingly common causes of nosocomial infections, such as Enterococcus faecalis and E. faecium, which are the cause of the majority of enterococcal infections in humans. Meanwhile, other bacterial species, such as E. casseliflavus, have also been shown to be pathogenic to humans. E. casseliflavus is rarely found in clinical samples, but it is an opportunistic pathogen that targets individuals who are immunocompromised or chronically ill and is sometimes nosocomially acquired. E. casseliflavus is associated with opportunistic infections, including bacteremia and urinary tract infections (Yoshino Y, 2023).
Enterococcus spp. are ubiquitous, occur in high amounts in food, and cause serious disease in humans. These microorganisms are frequently found in food and food-related environments, either due to their presence in raw materials or through exposure during the manufacturing, storage, or commercialisation of these products (Giraffa, 2002). Therefore, these bacteria are commonly found in samples collected before preparation and cooking, where many microorganisms are likely to be destroyed. However, human food contact surfaces are not frequently examined for enterococcal contamination. Its presence is not usually considered as a potential source of virulence transmission and antibiotic resistance determinant to the microbial community in the human gastrointestinal tract (Soares-Santos et al., 2015). The relationship of enterococci with humans is related to their enteric habitat. Their entry into the food chain is facilitated by their antibiotic resistance and their potential involvement in foodborne diseases, which is attributed to the presence of virulence factors such as the production of adhesins and aggregation substances (Giraffa, 2002).
Bacillus cereus is widely distributed in nature as a soil microorganism. Consuming food contaminated with >105 cells/g of B. cereus can cause food poisoning. In particular, B. cereus strains form spores that allow them to survive for long periods in dry foods, even after heat treatment. Due to the thermal resistance offered by the spore form, they easily cause food poisoning. The incubation period extends from 1-24 hours, and usually lasts around 6 hours (Dietrich et al., 2021). This article aims to demonstrate the role of Enterococcus spp. and Bacillus cereus in causing food poisoning in Babadan village and how to handle it.
Case Presentation
On Mei, 05, 2025, there was an outbreak of food poisoning after eating food from “Haul” ceremony at Babadan village, Palabuhan Ratu, Sukabumi. Fifty-four outbreak patients came to Palabuhan Ratu Hospital, with the chief complaint of vomiting.
A total of 106 people were involved in this outbreak. The food poisoning incident began after residents attended a memorial service for a deceased figure. Each attendee received a lunch box containing, among other things, a spicy egg. Three hours after the event, residents began experiencing nausea, cramps, vomiting, and diarrhoea. Those experiencing these symptoms then went to the hospital for treatment. Residents experiencing these symptoms then went to the hospital for treatment. Fifty-four victims were treated in the Emergency Room at Palabuhan Ratu Hospital. In contrast, the remaining fifty-two were treated at the emergency post, using tents and beds from the Regional Disaster Management Agency (BPBD).
All patients had received antibiotics, including a Ceftriaxone injection, and most showed improvement.
Investigation
Laboratory Investigation
Data on patient characteristics, clinical symptoms, stool examination, and Gram staining from fresh stool were collected. The stool Gram staining was performed with quantification based on Clinical Microbiology Proficiency Testing (CMPT) (Church et al., 2000). Table 1 shows the CMPT program's recommended Gram stain reporting criteria.
Table 1: A clinical microbiology proficiency testing program recommended a Gram stain reporting criteria.

The microbiological culture test on vomit and food material samples was carried out. The samples were sent to the West Java Provincial Health Laboratory. The Vitex MS was used for the identification of microorganisms, where the method is MALDI-TOF MS. The MALDI-TOF MS principle and mechanism are as follows: Samples for MALDI-TOF-MS analysis are prepared by mixing or coating them with a solution of an energy-absorbing organic compound, which is called a matrix. When the matrix crystallises during drying, the sample trapped within the matrix also crystallises. The sample inside the matrix is ionised automatically using a laser beam. Laser desorption and ionisation produce single protonated ions from the analyte in the sample. The protonated ions are then accelerated at a fixed potential, where they separate from each other based on their mass-to-charge (m/z) ratio. The charged analyser is then detected and measured using a time of flight (TOF) analyser (Hosseini et al., 2017). During MALDI-TOF analysis, the m/z ratio of an ion is measured by measuring the time it takes for the ion to travel the length of the flight tube. Some TOF analysers are equipped with an ion mirror at the rear end of the flight tube, which reflects the ions through the flight tube to the detector. Thus, the ion mirror not only increases the length of the flight tube but also corrects for small energy differences between the ions. Based on the TOF information, a characteristic spectrum called peptide mass fingerprint (PMF) is generated for analytes in the sample (Singhal et al., 2015). A schematic of the time-of-flight mechanism is shown in Fig. 1.

Adaptation from Hosseini
Figure 1: Reflection mode in MALDI-ToF-MS and application of the mirror method in correcting the error produced by linear mode.
Discussion
The characteristics of food poisoning patients from Babadan village based on age, gender, symptoms and Gram examination are shown in Table 2.
Table 2: The characteristics of food poisoning patients from Babadan village.
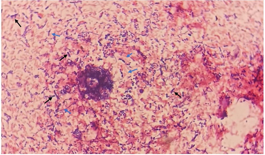
Gram staining results from the patient's stool are shown in Fig 2.

Figure 2: Gram stain of patient stool (1000x magnification) showing: a) Gram-positive oval cocci (spherical or ovoid), arranged in single cells, pairs (diplococci), or in short chains. (blue arrow). b) Gram-positive bacillus-shaped bacteria, which can be single or in short chains (black arrows).
The result of the microbiological culture test on vomit and food material samples from the Provincial Health Laboratory showed that the vomit sample contained Enterococcus faecalis and Bacillus cereus; the noodles sample contained Enterococcus faecalis, Enterococcus casseliflavus, and Bacillus cereus; the meat sample contained Enterococcus faecalis; and the beans sample contained Enterococcus casseliflavus.
Based on the symptoms, the majority of patients had symptoms of vomiting (54/54;100%), and from the stool-Gram test, Gram-positive oval cocci (spherical or ovoid) bacteria, arranged in single cells, pairs (diplococci), or in short chains, were concluded to be Enterococcus spp. Infection. Based on microbiological culture test on vomit and food material samples was found. Enterococcus faecalis and Enterococcus casseliflavus were found. Enterococcus spp. can be easily isolated from various foods, including several traditional fermented foods. A clear picture of the microbial ecology of these bacteria easily explains their presence in food. Enterococcus spp. constitute a large proportion of autochthonous bacteria associated with the mammalian gastrointestinal tract (Giraffa G, 2002). These bacteria will come out of the gastrointestinal tract through human or animal faeces. They can colonise diverse niches because of their exceptional aptitude to resist or grow in hostile environments. Enterococcus spp. are not only associated with warm-blooded animals, but also occur in soil, surface water, and on plants and vegetables. Through intestinal or environmental contamination, these bacteria then colonise raw foods (e.g., milk and meat) and multiply in these materials during fermentation. They can also contaminate finished products during food processing (Zaheer et al., 2020). Therefore, many fermented foods made from meat and milk (especially fermented meats and cheeses) contain Enterococcus spp. (Giraffa, 2002). The E. faecium and E. faecalis are the most common in the human gastrointestinal tract, whereas, among farm animals, E. faecium together with E. cecorum, E. faecalis and, to some extent, E. hirae predominate, while E. mundtii and E. casseliflavus are commonly found in plant sources (Zaheer et al., 2020). That's why the E. casseliflavus was found in the bean.
Enterococcus spp. can survive in various adverse conditions and survive for several months in the environment. They can survive in a variety of stressful and hostile environments, including extreme pH and temperature conditions (between 10°C and 45°C), as well as high NaCl concentrations. These attributes make Enterococcus spp. ideal for fermentation applications. However, these same attributes make them difficult to eliminate and control after fermentation (Torres et al., 2018). In many cases, Enterococcus spp are also a spoilage problem in cooked processed meats because they can survive the heating process, especially if they are initially present in large numbers. For example, E. faecium can survive cooking at temperatures up to 68°C for 30 minutes during normal frankfurter production. Furthermore, there is a high potential for recontamination with enterococci, both in raw and properly cooked products, from intestinal or environmental sources (Giraffa, 2002). Enterococcus spp. can produce thermostable amines such as tyramine, histamine, phenylethylalanine, cadaverine, and putrescine, which can cause allergic reactions or poisoning. This makes several symptoms like headache, vomiting, increased blood pressure, and even allergic reactions (Krawczyk et al., 2021).
Based on the symptoms, there are some patients with diarrhoea symptoms (4/54;7.4%), and based on the Gram test, three samples did not show Enterococcus spp. appearance. However, Gram-positive bacillus-shaped bacteria, which can be single or in short chains, were found in these (3/54;5.6) samples. The microbiological culture test revealed the presence of Enterococcus spp. and Bacillus cereus. These bacteria are aerobic, contain spores, and are motile, rod-shaped. These organisms (spores) can survive the cooking process. The Bacillus cereus is found plentifully in the soil and in raw, dried and processed food. Consumption of contaminated food that favours the growth of these bacteria can lead to episodes of food poisoning (Dietrich et al., 2021). These bacteria produce enterotoxins that cause food poisoning. The symptoms of these bacteria are nausea, vomiting, abdominal colic, and diarrhoea. The clinical manifestations of B. cereus food poisoning are known to be caused by activities of exotoxins, lecithinase, protease, and hemolysis. Bacillus cereus strains produce diverse types of toxins that cause food poisoning of the diarrheal or emetic type. Bacillus cereus strains produce at least 5 different enterotoxins, with exclude the emetic toxin (Stenfors Arnesen et al., 2008). Hemolysin BL (HBL) and nonhemolytic enterotoxin (Nhe) are composed of 3 proteins, whereas EntFM, CytK, and BceT are composed of only one protein each. The HBL, Nhe, and CytK toxins are implicated in food poisoning in humans, whereas HBL and Nhe toxins have been implicated in exerting cytotoxic and hemolytic activities. The CytK toxin was reported to cause severe symptoms and bloody diarrhoea in a recent outbreak. The emetic type toxin was referred to as cereulide. Bacillus cereus, which produces emetic toxin, has been reported to neither produce diarrheal toxin nor hydrolyse starch (Hwang and Park, 2015).
Several strategies can be employed to prevent Enterococcus spp. and Bacillus cereus infections. The infection spreads through contamination or transfer of disease-causing organisms via human hands or insects such as flies, rats, etc., to food or eating utensils. Food hygiene and food handler hygiene are essential in preventing or controlling food infections and poisoning. Careful attention to cleanliness and hygiene throughout the food chain (from proper production, harvesting, marketing, storage, retail sales, processing, serving, and consumption) is essential. Food handlers must undergo regular and frequent health checks to detect any infections or carrier conditions (Kotzekidou, 2016). What is no less important is the correct cooking and handling methods to make food safe. Food-related microorganisms and, among them, pathogens, can grow in a temperature range from 5 °C to 57 °C. To ensure food safety, during processing steps after heat treatment, food should pass as quickly as possible through this range, called the “temperature danger zone” (Brown et al., 2012). For this reason, to well manage food after cooking, a two-stage cooling method is commonly applied. The first step consists of cooling the product from 60 °C to 21 °C within 2 hours; instead, in the second step, the cooling occurs from 21 °C to 5 °C or below within 4 hours. Among the just-mentioned steps, the first is the most critical since in the temperature range from 51 °C to 21 °C, the microbial growth is generally faster than observed at lower temperatures (Ricci et al., 2020). Unfortunately, in this case, no data was obtained on the kitchen environment and the cooking process of the food. Furthermore, no antibiotic resistance testing was performed, resulting in no data on Enterococcus spp. and Bacillus cereus resistance.
Conclusion
Enterococcus spp. and Bacillus cereus were the causes outbreak of the foodborne diseases at Babadan village. Prevention and control of foodborne infections depend on clean and safe food, free from contamination, handled by clean people in clean premises with clean utensils, and thorough protection from flies and other insects. Food handlers must undergo regular and frequent health checks to detect any infections or carrier conditions, and no less important, the correct cooking and handling methods to make food safe. The limitations of this investigation included the lack of data on the kitchen environment and the cooking process of the food, as well as the absence of data on the antibiotic resistance of Enterococcus spp. and Bacillus cereus.
References:
Brown LG, Ripley D, Blade H, Reimann D, Everstine K, Nicholas D, et al. Restaurant food cooling practices. J Food Prot 2012; 75: 2172-2178.
Church D, Melnyk E, Unger B. Quantitative gram stain interpretation criteria used by microbiology laboratories in Alberta, Canada. J Clin Microbiol 2000; 38: 4266-4268.
Dietrich R, Jessberger N, Ehling-Schulz M, Märtlbauer E, Granum PE. The Food Poisoning Toxins of Bacillus cereus. Toxins (Basel) 2021; 13(2).
Giraffa G. Enterococci from foods. FEMS Microbiol Rev 2002; 26: 163-171.
Hidron AI, Edwards JR, Patel J, Horan TC, Sievert DM, Pollock DA, et al. NHSN annual update: antimicrobial-resistant pathogens associated with healthcare-associated infections: annual summary of data reported to the National Healthcare Safety Network at the Centres for Disease Control and Prevention, 2006-2007. Infection control and hospital epidemiology 2008; 29: 996-1011.
Hosseini S, Martinez-Chapa SO. Fundamentals of MALDI-ToF-MS Analysis. Applications in Bio-diagnosis, Tissue Engineering and Drug Delivery. Amit Kumar H, India, Allam Appa Rao H, India, editors. Singapore: Springer; 2017. 67 p.
Hwang JY, Park JH. Characteristics of enterotoxin distribution, hemolysis, lecithinase, and starch hydrolysis of Bacillus cereus isolated from infant formulas and ready-to-eat foods. J Dairy Sci 2015; 98: 1652-1660.
Kotzekidou P. Chapter 3 - Factors influencing microbial safety of ready-to-eat foods. In: Kotzekidou P, editor. Food Hygiene and Toxicology in Ready-to-Eat Foods. San Diego: Academic Press; 2016. p. 33-50.
Krawczyk B, Wityk P, Galecka M, Michalik M. The Many Faces of Enterococcus spp.-Commensal, Probiotic and Opportunistic Pathogen. Microorganisms 2021; 9: 1900.
Ricci A, Martelli F, Razzano R, Cassi D, Lazzi C, Neviani E, et al. Service temperature preservation approach for food safety: Microbiological evaluation of ready meals. Food Control 2020; 115: 107297.
Singhal N, Kumar M, Kanaujia PK, Virdi JS. MALDI-TOF mass spectrometry: an emerging technology for microbial identification and diagnosis. Front Microbiol 2015; 6:791.
Soares-Santos V, Barreto AS, Semedo-Lemsaddek T. Characterisation of Enterococci from Food and Food-Related Settings. J Food Prot 2015; 78: 1320-1326.
Stenfors Arnesen LP, Fagerlund A, Granum PE. From soil to gut: Bacillus cereus and its food poisoning toxins. FEMS Microbiol Rev 2008; 32: 579-606.
Tamrat E, Asmare Z, Geteneh A, Sisay A, Getachew E, Kassanew B, et al. The global prevalence of biofilm-forming Enterococcus faecalis in clinical isolates: a systematic review and meta-analysis. BMC Infectious Diseases 2025; 25: 981.
Torres C, Alonso CA, Ruiz-Ripa L, León-Sampedro R, Del Campo R, Coque TM. Antimicrobial Resistance in Enterococcus spp. of animal origin. Microbiol Spectr 2018; 6: 10.1128/microbiolspec.arba-0032-2018.
Van Tyne D, Martin MJ, Gilmore MS. Structure, function, and biology of the Enterococcus faecalis cytolysin. Toxins (Basel) 2013; 5: 895-911.
Yoshino Y. Enterococcus casseliflavus Infection: A Review of Clinical Features and Treatment. Infect Drug Resist 2023; 16: 363-368.
Zaheer R, Cook SR, Barbieri R, Goji N, Cameron A, Petkau A, Polo RO, Tymensen L, Stamm C, Song J, Hannon S, Jones T, Church D, Booker CW, Amoako K, Van Domselaar G, Read RR, McAllister TA. Surveillance of Enterococcus spp. reveals distinct species and antimicrobial resistance diversity across a One-Health continuum. Sci Rep 2020; 10: 3937.
|