Join us   Log in   editor@jmedicalcasereports.org  


FRONTIERS IN MEDICAL CASE REPORTS - Volume 6; Issue 6, (Nov-Dec, 2025)

Pages: 01-11
Print Article   Download XML  Download PDF

High-Grade Serous Carcinoma of The Thoracic Wall: A Primary Tumor Associated with Serous Tubal Intraepithelial Carcinoma

Author: Liapi Aikaterini, Hastir Delfyne, Lelievre Loic, Sarivalasis Apostolos

Category: Medical Case Reports

Abstract:

High-grade serous carcinomas (HGSC) are aggressive neoplasms arising frequently from the uterine, ovarian, fallopian tube or peritoneal epithelium. They are characterized by aberrant p53 expression and rapid clinical evolution with early peritoneal and metastatic spread. Serous tubal intraepithelial carcinoma (STIC) is considered the precursor lesion of high-grade serous ovarian carcinoma (HGSOC), the most common subtype of ovarian cancer. High-grade serous carcinomas’ main spreading pattern is through peritoneal fluid to distant peritoneal invasive localization, resulting in peritoneal carcinomatosis. Occasionally, HGSC can metastasize through lymphovascular invasions to lymph nodes and other peritoneal and extra peritoneal organs. High grade serous carcinoma metastases of the thoracic wall with extensive local and mediastinal lymph-node invasion, lacking peritoneal, abdominal or gynecological primary invasive tumor, is a rare clinical situation. In this report, we present the case of a 68 year-old female patient’s HGSC, with extensive thoracic wall infiltration and extra peritoneal-only metastases. Interestingly, the diagnostic laparoscopy with hysterectomy and bilateral annexectomy ruled out peritoneal metastasis and invasive disease, detecting STIC sites.

Keywords: Pleural High-Grade Serous Carcinoma, STIC Associated with Distant Thoracic Metastasis, STIC Without Ovarian or Peritoneal Invasive Spread

Full Text:

Introduction

High-grade serous carcinoma (HGSC) is the most common cancer subtype arising from the ovaries, fallopian tube, the peritoneum and less frequently endometrium. Irrespective of the primary localization, HGSCs are associated with rapid proliferation and early metastatic spread through peritoneal, nodal and less frequently visceral spread. As resistance to therapeutic agents develops, eventually, HGSC lead to patient death.

Serous tubal intraepithelial carcinomas (STICs) are considered the pre-invasive tumor lesion in the majority of high-grade serous tubo-ovarian and peritoneal cancers (Kindelberger et aI., 2007, Schneider et aI., 2017). Both STIC and high grade serous ovarian carcinomas (HGSOC) harbor somatic TP53 mutation and both invasive and pre-invasive tumors share identical TP53 mutations with subsequent metastatic sites (Kuhn et aI., 2012). The significant reduction of HGSOC occurrence following bilateral risk-reducing salpingo-oopherectomy (RRSO) in germline BRCA1/2 mutation, even in the presence of STIC, is indicative of the causative association between STIC and HGSOC (Carlson et aI., 2008). Although unfrequently reported, STIC can be associated with invasive peritoneal (Horn et aI., 2013) and rarely pleural metastasis despite the absent synchronous adjacent invasive carcinoma in the fallopian tube or the ovaries.

HGSOC display a tropism for mesothelial surfaces including peritoneum and pleura. Pleural effusion is associated with both benign and malignant ovarian tumors thus, cytological confirmation of malignancy of any pleural effusion associated with an ovarian tumor is mandatory to stage the disease as FIGO IVA (Nasser et aI., 2021). Interestingly, despite the fact that the vast majority of HGSOC with malignant pleural metastasis, present synchronous and often extensive peritoneal carcinomatosis or lymph node metastasis alongside with the primary gynecological tumor, some stage IVA disease lack other synchronous extra-pelvic invasive localizations.

In this article, we report on the association of an extensive HGSC infiltrating massively the right thoracic wall, associated with mediastinal-nodal and pleural metastasis and concomitant STIC localization but lacking radiological, surgical or histological evidence of abdominal and pelvic invasive HGSC metastatic or primary sites.

Methods and Results

A 68-year-old patient, with a history of blood hypertension, sleep apnea syndrome and HIV and HBV infections, was admitted to the emergency department complaining of a rapidly growing right, lateral thoracic, tender and inflammatory mass associated with resting and exercise shortness of breath.

The chest CT scan described a right anterior thoracic mass infiltrating the right pectoral facia, 6th and 7th intercostal spaces to the pleural cavity and protruding by continuity to the abdomen and the hepatic dome. The primary tumor measured 46x80x60 mm. The main tumor extension affected the thoracic cavity with pleural carcinomatosis and extensive mediastinal and internal mammary lymph nodes.

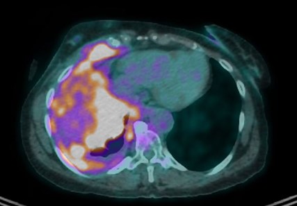
The PET-CT (Fig. 1) and pelvic MRI confirmed the thoracic and local extension without any distant, abdominal and pelvic localizations. Based on the imaging the primary diagnostic hypothesis was of a soft tissue sarcoma of the right thoracic wall with the differential diagnosis of a neglected mesothelioma.


Figure 1: Initial presentation.

The initial tumor marker panel indicated an increased CA125 to 812kU/L (ULN <35). For the definitive diagnosis, pleural biopsies were carried out. Histological examination showed a malignant epithelial papillary proliferation composed of very atypical cells with pleomorphic nuclei, nucleolus, moderately abundant eosinophilic cytoplasm, and numerous mitoses. The malignant cells exhibited a positive immunohistochemical staining for BerEP4, PAX8, WT1, ER, p16 and a surexpression of p53 (mutational type p53 immunostaining pattern) (Fig. 2-3). Cells were negative for calretinin, TTF-1, napsin A and GATA3. This staining profile ruled out mesothelial differentiation and concluded to a HGSC of gynecological or peritoneal origin.


Figure 2: Pathology. HGSC with papillary achitecture composed of very atypical epithelial cells with pleomorphic nuclei, nucleolus, moderately abundant eosinophilic cytoplasm, and numerous mitosis (H&E. ×200).


Figure 3: Diffuse positivity for PAX8, WT1, P16, ER and mutational p53 immunostaining pattern (×200).

To confirm the hypothesis of a gynecological origin, diagnostic laparoscopy with bilateral salpingo-oopherectomy and a uterine curettage was performed. The laparoscopy ruled out intraperitoneal metastasis; the uterine curettage was negative for an endometrial cancer and the peritoneal washing was negative for malignancy.

Interestingly though, both fallopian tubes presented foci of early serous proliferation/”p53 signature” (<1mm) and, in the left fallopian tube, a single focus of STIC measuring 1 mm larger. Adjacent, concomitant invasive areas of HGSOC were not detected among the examined tissues.

To establish the optimal treatment plan for this surprising clinical situation, we performed a comprehensive review of the literature, which is described in the discussion section. The table (Table 1) resumes the results (Suda et aI., 2019, Shih et aI., 2016, Fukumura et aI., 2009, Itamochi et aI.,2017, Wethington et aI., 2013).

We considered the patient as an equivalent of a stage FIGO IVB HGSOC due to the extensive thoracic lymph nodes extension.

Since a complete debulking surgery was impossible due to the extent of the disease, the patient received systemic i.v. chemotherapy by carboplatine AUC 6 and paclitaxel 80mg/m2 for six cycles. Following an initial increase of CA 125 levels, CA 125 decreased and normalized (Fig. 4).

Table 1: literature review: key-words: “primary HGSC”, “extra abdominal sites”, “thoracic HGSC” , “STIC and extra abdominal sites”, “STIC and internal mammary chain lymph nodes”, “STIC and mediastinal lymph nodes” and “STIC with pleural direct metastasis”.


Figure 4: CA 125 evolution.

In the context of her HGSC of gynecological origin with synchronous STIC, the patient’s genetic counseling and germline panel testing based on local HGSOC guidance was negative for a BRCA1/2, RAD51, PALB2 or BRIP1 pathologic variant. Interestingly, variant of unknown significance (VUS) of MSH6 was detected. Subsequently, the somatic gene panel was also negative for BRCA1/2 for mutation. Of note, at the time of the patient‘s treatment HRD testing was not available thus platinum sensibility was used as a surrogate of HRR status.

In this clinical setting, based on the histology, the disease extension and despite the absence of a gynecological, peritoneal or broadly abdominal primary tumor we introduced bevacizumab 15 mg/kg i.v. every three weeks for a total of 15 months, during chemotherapy and as maintenance thereafter as it would be indicated for stage FIGO IV HGSOC. Furthermore, considering the very good partial response (vgPR) of the disease to the platinum-based chemotherapy after 3 cycles as a surrogate of homologous recombination deficiency (HRD) and in spite of a negative BRCA1 and BRCA2 status, we decided to prescribe olaparib 300mg bid according to the recently published at the time PAOLA 1 treatment protocol (Ray-Coquard et aI., 2019).

Twelve months since the end of chemotherapy the patient on a combined maintenance by bevacizumab and olaparib presents complete metabolic response with very good partial response on her imaging (Fig. 5) and her CA 125 in negative at 19kU/L. No dose adaptation was necessary, and no significant toxicities were reported. Fig. 6 shows the treatment ant evolution timeline.


Figure 5: Response to chemotherapy.


Figure 6: Treatment ant evolution timeline.

Discussion

High-grade serous carcinomas are characterized by TP53 mutations diagnosed by either aberrant immunohistochemical expression or next generation sequencing (NGS). TP53 mutations are virtually present in all HGSC of gynecological origin. This pathognomonic alteration is associated with genomic instability and genes copy number alterations observed in these tumours (Otsuka, 2021). Gene repair mechanisms including BRCA genes mutations and homologous recombination pathway are often impaired in HGSC. BRCA1 and BRCA2 germline and somatic mutations are present in 15 to 22% of all cases. HRD and “BRCA-ness” phenotype is suspected in 50% of all HGSOC (Ngoi et aI., 2021). Among endometrial serous carcinomas (ESC), BRCA1/2 mutations is detected in a mere 5% of patients (Pennington et aI., 2013). Besides the histological determined ESC, TCGA-derived molecular classification of endometrial carcinomas suggests that up to 25% of all endometrial cancers are classified as p53-mutant, serous-like or copy number high and behave as USC.

Depending on the primary tumor site, patients often report an asymptomatic initial tumor expansion phase followed by a symptomatic, extensive or metastatic disease phase. HGSOC, the most frequent site of HGSC spreads both through peritoneal fluid direct exfoliation of cancer cells located in the ovarian surface or from the fallopian tube areas directly into the peritoneal cavity. Less frequently involved metastatic areas include pelvic and para-aortic lymph nodes, intraperitoneal and extraperitoneal organs and other distant serous membranes covering pleural and pericardial cavities.

Our report illustrates a rare case of extra peritoneal-only HGSC associated with STIC localizations in both the fallopian tubes of a 68-years old patient without any peritoneal, visceral and lymph node metastasis.

At presentation, an extensive pleural malignant infiltration associated with subcutaneous extension, local mediastinal and internal mammary lymph node extension, misled the diagnosis towards a mesothelioma or a sarcoma. Following pleural biopsy, the diagnosis of HGSC was confirmed interestingly with an immunohistochemical profile compatible with a high-grade serous ovarian carcinoma. Thus, a diagnostic laparoscopy with bilateral salpingo-oopherectomy and a uterine curettage was performed. It ruled out peritoneal carcinomatosis and macroscopically detectable primary tumor in the ovaries, fallopian tubes or the peritoneum.

In the pathological assessment of the surgical samples, the presence of bilateral STIC lesions but without adjacent invasive lesions was an unexpected finding. Indeed, while there can be debate as to the original extra-peritoneal localization and the sequence of metastasis from the pleural to the adjacent subcutaneous tissues and thoracic lymph-nodes or the other way around, primary pleural metastasis without evidence of in between metastatic spread from HGSOC, especially in the peritoneal serosa is uncommon. To make this case event more uncommon and complex, the complete absence of any invasive HGSC in the peritoneum or gynecological organs makes this case unique.

As already mentioned, we performed a comprehensive review of the literature, in order to establish the optimal treatment plan for this surprising clinical situation. We used the following research engines: PubMed, Google, and Google Scholar. The following research key words were used: “primary HGSC”, “extra abdominal sites”, “thoracic HGSC” The review did not yield any similar reports of HGSC exclusively evolving in the extra abdominal/extra peritoneal sites in the absence of primary invasive HGSC in the gynecological, abdominal and peritoneal organs. We thus extended our research to “STIC and extra abdominal sites”, “STIC and internal mammary chain lymph nodes”, “STIC and mediastinal lymph nodes” and “STIC with pleural direct metastasis”. The table (Table 1) resumes the results.

Another interesting case presentation of was the case of an isolated splenic HGSC, without primary pelvic lesion. In this situation, it was not mentioned if the histology was positive for STIC (Rogers et aI., 2021).

Since no medical report in the literature described primary ectopic HGSC in the thoracic cavity we went on to examine for the association of STIC without adjacent invasive HGSC and distant metastasis. This scarcely encountered association was reported in five reports. In none of the five STIC was associated with extra-abdominal only spread.

Based on the absence of specific treatment guidance to treat our patient and acknowledging the immunohistochemical profile and STIC detection we treated our patient according to HGSOC treatment algorithms. The no-debulkable thoracic disease mandated for a metastatic stage treatment plan including systemic platinum based-doublet chemotherapy, followed by bevacizumab and olaparib maintenance based on the PAOLA-1 treatment regimen (Ray-Coquard et aI., 2019). Two years after her diagnosis, the patient is in complete metabolic response and moved on towards the end her two-year olaparib maintenance.

Conclusion

This case highlights an exceptionally rare presentation of HGSC manifesting exclusively in extraperitoneal sites, with extensive pleural involvement and subcutaneous and thoracic lymphatic spread, yet without any peritoneal, visceral, or gynecologic invasive disease. The presence of bilateral STIC lesions in the absence of concurrent invasive pelvic disease further supports the emerging concept of the fallopian tube as the site of origin in HGSC, even in atypical metastatic patterns.

Given the lack of specific therapeutic guidelines for such presentations, management based on standard HGSC protocols proved effective, resulting in a sustained complete metabolic response after two years.

Abbreviations

HGSC: High-grade serous carcinoma
STIC: Serous tubal intraepithelial carcinoma
HGSOC: High grade serous ovarian carcinoma
RRSO: Salpingo-oopherectomy
VUS: Variant of unknown significance
vgPR: Very good partial response
HRD: Homologous recombination deficiency
NGS: Next generation sequencing
ESC: Endometrial serous carcinomas

Ethical Approval: No ethical approval needed for this single patient case-report.

Informed Consent: Written informed consent obtained.

Funding: This research received no specific grant from any funding agency in the public, commercial, or not-for-profit sectors

Conflict of Interest: The authors declare no conflict of interest in preparing this article.

References:

Carlson JW, Miron A, Jarboe EA, Parast MM, Hirsch MS, Lee Y, Muto MG, Kindelberger D, Crum CP. Serous tubal intraepithelial carcinoma: its potential role in primary peritoneal serous carcinoma and serous cancer prevention. J Clin Oncol 2008; 26: 4160-4165.

Fukumura Y, Masaoka A, Naito T, Kimura M, Yao T. A case of non-invasive serous adenocarcinoma at unilateral fimbria with spread to the peritoneal/uterine cavity: case report. Diagn Pathol 2009; 4: 43.

Horn LC, Kafkova S, Leonhardt K, Kellner C, Einenkel J. Serous tubal in situ carcinoma (STIC) in primary peritoneal serous carcinomas. Int J Gynecol Pathol 2013; 32: 339-344.

Itamochi H, Shoji T, Sugiyama T, Mukaida R, Sasou S, Takeshita R, Sato T. A Case of High-Grade Serous Tubal Intraepithelial Carcinoma Diagnosed with Adenocarcinoma by Ascitic Fluid Cytology. Journal of Tumor 2017; 5: 488-491.

Kindelberger DW, Lee Y, Miron A, Hirsch MS, Feltmate C, Medeiros F, Callahan MJ, Garner EO, Gordon RW, Birch C, Berkowitz RS, Muto MG, Crum CP. Intraepithelial carcinoma of the fimbria and pelvic serous carcinoma: Evidence for a causal relationship. Am J Surg Pathol 2007; 31: 161-169.

Kuhn E, Kurman RJ, Vang R, Sehdev AS, Han G, Soslow R, Wang TL, Shih IeM. TP53 mutations in serous tubal intraepithelial carcinoma and concurrent pelvic high-grade serous carcinoma--evidence supporting the clonal relationship of the two lesions. J Pathol 2012; 226: 421-426.

Nasser S, Fotopoulou C, Richter R, Kaulich J, Braicu E, Beteta C, Olschewski J, Babayeva A, Sehouli J. Prognostic Value and Therapeutic Implications of Pleural Carcinosis and Malignant Pleural Effusion in Advanced Epithelial Ovarian Cancer. Anticancer Res 2021; 41: 2033-2038.

Ngoi NYL, Tan DSP. The role of homologous recombination deficiency testing in ovarian cancer and its clinical implications: do we need it? ESMO Open 2021; 6: 100144.

Otsuka I. Mechanisms of High-Grade Serous Carcinogenesis in the Fallopian Tube and Ovary: Current Hypotheses, Etiologic Factors, and Molecular Alterations. Int J Mol Sci 2021; 22: 4409.

Pennington KP, Walsh T, Lee M, Pennil C, Novetsky AP, Agnew KJ, Thornton A, Garcia R, Mutch D, King MC, Goodfellow P, Swisher EM. BRCA1, TP53, and CHEK2 germline mutations in uterine serous carcinoma. Cancer 2013; 119: 332-328.

Ray-Coquard I, Pautier P, Pignata S, Pérol D, González-Martín A, Berger R, Fujiwara K, Vergote I, Colombo N, Mäenpää J, Selle F, Sehouli J, Lorusso D, Guerra Alía EM, Reinthaller A, Nagao S, Lefeuvre-Plesse C, Canzler U, Scambia G, Lortholary A, Marmé F, Combe P, de Gregorio N, Rodrigues M, Buderath P, Dubot C, Burges A, You B, Pujade-Lauraine E, Harter P; PAOLA-1 Investigators. Olaparib plus Bevacizumab as First-Line Maintenance in Ovarian Cancer. N Engl J Med 2019; 381: 2416-2428.

Rogers R, Ehmann S, Tew WP, Broach V. Isolated splenic high-grade serous carcinoma: A case report. Gynecol Oncol Rep 2021; 37: 100818.

Schneider S, Heikaus S, Harter P, Heitz F, Grimm C, Ataseven B, Prader S, Kurzeder C, Ebel T, Traut A, du Bois A. Serous Tubal Intraepithelial Carcinoma Associated With Extraovarian Metastases. Int J Gynecol Cancer 2017; 27: 444-451.

Shih LC, Li WS, Tsai SC, Ke YM, Hsu ST, Huang SF, Chou MM, Lu CH. Primary serous tubal intraepithelial carcinoma with multiple lymph node metastases. Taiwan J Obstet Gynecol 2016; 55: 609-612.

Suda K, Nakaoka H, Hata C, Yahata N, Isobe M, Kameyama H, Wakai T, Motoyama T, Inoue I, Yoshihara K, Enomoto T. Concurrent isolated retroperitoneal HGSC and STIC defined by somatic mutation analysis: a case report. Diagn Pathol 2019; 14: 17.

Wethington SL, Park KJ, Soslow RA, Kauff ND, Brown CL, Dao F, Otegbeye E, Sonoda Y, Abu-Rustum NR, Barakat RR, Levine DA, Gardner GJ. Clinical outcome of isolated serous tubal intraepithelial carcinomas (STIC). Int J Gynecol Cancer 2013; 23: 1603-1611.